The Marriage of Medical Technology and “Phantom”, Improving Ophthalmic Diagnostic Accuracy
- An eyeball phantom for the evaluation of retina diagnostic equipment (OCT: optical coherence tomography) has been developed -
# The number of patients suffering from the damaged retina, one of the critical cells of human eyes, is on the rise. According to the analysis of health insurance big data, the number of patients who have visited a doctor for retina related diseases has increased by 8.5% on average for five years since 2010. Together with this upward trend, the market for ophthalmic diagnostic equipment has sharply grown during the same period.
The research team led by Dr. Sang Won Lee, a principal researcher of the Center for Nano-Bio Measurement from KRISS, has developed a standardized eyeball phantom* that evaluates the performance of optical coherence tomography (OCT) equipment, one of the representative retina diagnostic instruments. This is expected to clear up the license problem, which has been acted as a major obstacle to using homegrown medical equipment in Korea.
* Phantom: a tool for the evaluation of the performance of medical imaging equipment, such as MRI and CT. The phantom is inserted into the equipment instead of the human body to set the reference values for measurement. It serves a similar function as a dummy for a car crash test.
The retina of an eye senses light and is a critical tissue that determines eye sight. The tissue with a less than 0.5 mm in thickness is not recoverable once it is damaged. The late diagnosis of ophthalmic diseases, such as diabetic retinopathy and macular degeneration, can lead to blindness mainly because the retina is thin and susceptible to damage.
OCT equipment, dubbed a CT machine that pictures the eyes, is one of the representative types of optical tomography equipment that diagnoses ophthalmic disease and checks treatment progress. OCT equipment currently makes up the largest share of the market for ophthalmic imaging equipment.
However, Korea has completely depended on imported OCT equipment because there was no way to evaluate the optical performance of medical imaging equipment in Korea even if Korean companies can manufacture them. This has presented an obstacle for made-in-Korea equipment to be licensed by Ministry of Food and Drug Safety and overseas licensing entities, including the U.S. Food and Drug Administration (FDA) and CE (Community European).
The research team led by Dr. Sang Won Lee has developed a standardized eyeball phantom to precisely measure thickness and length. Scanning the standardized eyeball phantom instead of real eyeballs with OCT equipment allows the perfect evaluation of the performance of the equipment.
The standardized eyeball phantom can be comparable to a ruler. The accuracy level of OCT equipment can be measured, and the equipment can be calibrated by comparing the gradations marked on the phantom with the actual 3D imaging measurement of the equipment.
The achievement made by the research team basically satisfies the OCT international accreditation standard, ISO 16971. However, the ISO only prescribes the standards mainly for the eyeball phantom itself. Against this backdrop, the research team has newly established evaluation methods and procedures for OCT equipment and has also mitigated the shortcomings of the existing ISO standard. Now it is possible to use medical equipment made in Korea as they can be systematically evaluated in this country.
Developed with support by the hidden champion project of KRISS, the standardized eyeball phantom and evaluation methods for it have been used to improve and license the performance of the OCT equipment manufactured by Huviz, a Korean optical medical equipment company. The equipment of the company is now in the process of earning approval from the U.S. FDA after being licensed by the Ministry of Food and Drug Safety (Korea) and CE (Community European).
The precise evaluation of OCT performance using the standardized eyeball phantom is expected not just to improve the accuracy of ophthalmic diagnosis but also to standardize medical data. The individual imported OCT equipment currently used in hospitals might have different standards and measured values. The differences can be reduced by using the standardized eyeball phantom for calibration of the existing equipment, which allows the standardization of ophthalmic diagnostic data. The development of the standardized eyeball phantom has led to the establishment of an OCT evaluation system, which makes it possible to manufacture OCT equipment in Korea and to accumulate quality big data in the medical field thanks to the standardization of medical data.
○ OCT (Optical Coherence Tomography) Equipment
: State-of-the-art medical equipment scanning tomography and cross sections of eyeball tissues, such as the retina. It visualizes the section structure of a certain sample into 3D image and measures the length between different components or layers within tissues by transilluminating lights and then detecting the reflected or single back-scattered lights from the components or layers by using an optical interferometry.
○ ISO 16971
: Ophthalmic instruments - Optical coherence tomograph for the posterior segment of the human eye published in 2015 by International Organization for Standardization (ISO).
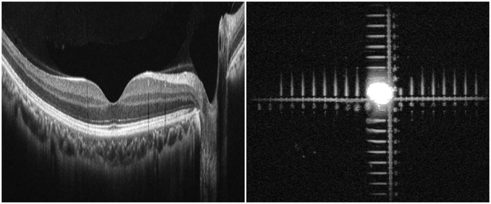
![그림입니다. 원본 그림의 이름: [첨부1] 안과용 망막진단장비(OCT)로 촬영한 사람의 망막(좌)과 표준 안구팬텀(우) 영상.jpg 원본 그림의 크기: 가로 1200pixel, 세로 500pixel](/sites/default/files/get_images/2023/11/24/1fb734b3a61287e4417bfb799fbd54ba.jpg)
▲ Images of Human Eye’s Retina (Left) and of Standardized Eyeball Phantom (Right) Scanned by OCT Ophthalmic Instruments

▲ Standardized Eyeball Phantom Modules Developed for the Evaluation of Optical Performance of OCT Ophthalmic Instruments
![그림입니다. 원본 그림의 이름: [첨부4] KRISS 이상원 책임연구원이 망막진단장비(OCT) 평가용 표준 안구팬텀을 개발하고 있다.JPG 원본 그림의 크기: 가로 2400pixel, 세로 1650pixel 사진 찍은 날짜: 2018년 02월 21일 오후 3:53](/sites/default/files/get_images/2023/11/24/3863be765d7131a4a2ab17352a4fb263.jpg)
▲ Dr. Sang Won Lee is developing a standardized eyeball phantom for the evaluation of OCT equipment.
原文源自KRISS网站,版权归其所有。如有侵权,请联系,第一时间删除。
